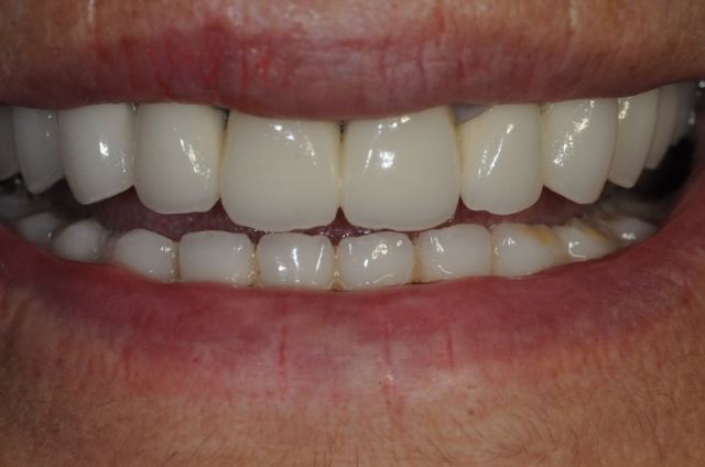
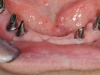
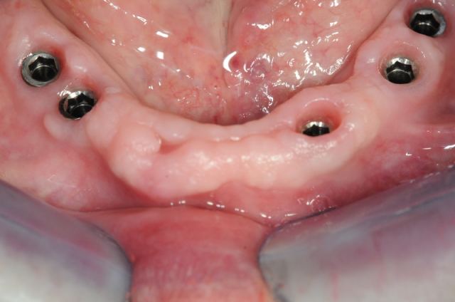
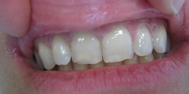
Rögzített fogpótlások

 

Fémkerámia munkák

 

Zirkon munkák

 

Héjkerámia